L’Evoluzione della Ricerca: L’Archivio Storico e il Futuro dei Congressi Nazionali AIM ETS
Un ponte tra memoria scientifica e innovazione clinica
Il Congresso Nazionale dell’Associazione Italiana di Miologia (AIM ETS) rappresenta da anni il fulcro del confronto scientifico nel nostro Paese. È lo spazio in cui ricercatori, clinici e accademici convergono per tracciare le nuove rotte della diagnosi, del trattamento e della gestione delle patologie neuromuscolari.
In questa sezione, l’AIM offre una panoramica completa della propria attività congressuale, permettendo di navigare tra l’eredità delle edizioni passate e le sfide dell’edizione corrente.
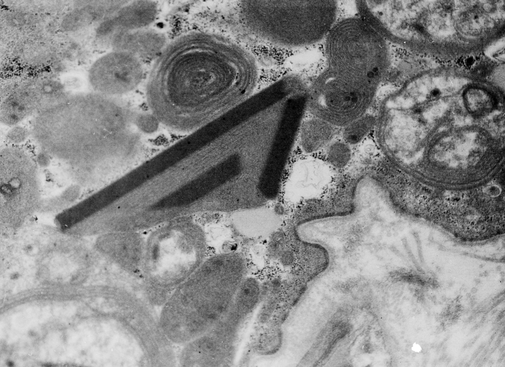
Credit photo: Anomalie mitocondriali
Tre tipi di mitocondri anomali e disfunzionali: due mitocondri con creste concentriche, uno con tre inclusioni paracristalline e uno con dimensioni aumentate, anomalie e riduzione delle creste.
Immagine acquisita mediante microscopia elettronica. Ingrandimento 7.000×.
SSD Neurologia-Malattie Neuromuscolari e rare – SC Neurologia, Fondazione IRCCS Ca’ Granda Ospedale Maggiore Policlinico, Milano. Università degli Studi di Milano.
Edizione 2026 CONGRESSO CONGIUNTO
BOLOGNA | 13 – 16 maggio 2026
XXVI NATIONAL CONGRESS OF ITALIAN ASSOCIATION OF MYOLOGY
XVI RIUNIONE ANNUALE ASSOCIAZIONE ITALIANA PER LO STUDIO DEL SISTEMA NERVOSO PERIFERICO ASNP
Archivio Storico: Le Edizioni Precedenti
Ripercorrere il progresso, tappa dopo tappa.
La storia della Miologia italiana è scritta nei nostri congressi. Consultare l’archivio non significa solo guardare al passato, ma comprendere l’evoluzione dei protocolli clinici e la maturazione della comunità scientifica nazionale.
“La condivisione del sapere è la forza motrice che trasforma la ricerca in speranza per i pazienti.”

